CBCT - Cone Beam Miami - Low Radiation

Escaneo CBCT en Miami, FL

CBCT – “Escaneo CT” de haz cónico ULTRA BAJO dosis de radiación

Escaneo CBCT el mismo día

Precio $ 250

Llámanos – 305.217.6453

Dentista cerca de mí, dentista cerca de mí, mejor dentista de miami, mejor dentista de miami, pizza cerca de mí, chino cerca de mí, comida cerca de mí, dentista de corona en miami, dentista más barato en miami, dentista de tratamiento de conductos en miami, dentista de tratamiento de conductos en miami más barato

Planmeca Visio G7

Especificaciones: 60-120 kilovoltios 

 Con unidad USB o subido a Google Drive

Cráneo completo hasta C7 de la columna vertebral

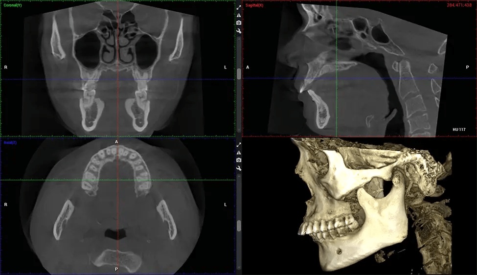
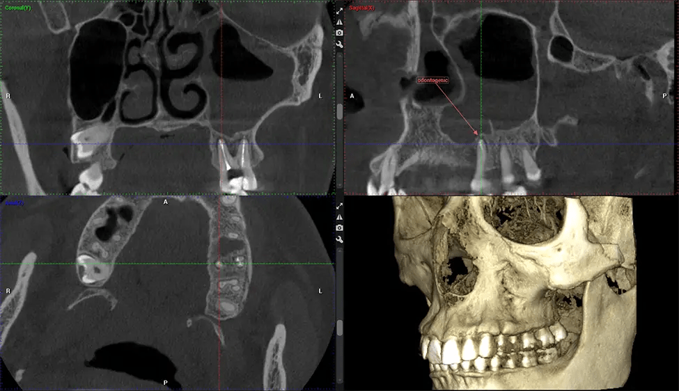
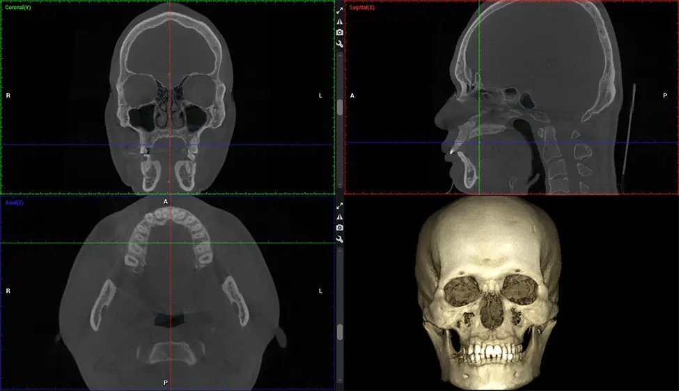
Tomografía computarizada de haz cónico (CBCT) es una técnica de imagen avanzada utilizada en odontología y cirugía maxilofacial para obtener imágenes 3D detalladas de las estructuras orales y maxilofaciales. Dr. G Estudio Dental, nuestro CBCT Los escáneres utilizan un haz de rayos X en forma de cono y un detector especializado para capturar imágenes desde diferentes ángulos. Posteriormente, una computadora combina estas imágenes para crear una representación tridimensional de la anatomía oral del paciente.

Esta exploración 3D, llamada tomografía computarizada de haz cónico, le brinda a su dentista una imagen más completa de su anatomía bucal y sus procesos patológicos que una radiografía tradicional. A diferencia de las radiografías convencionales, que capturan una imagen 2D de la boca desde varios ángulos, una exploración 3D toma varias radiografías digitales para una imagen. Proporciona una vista completa de la mandíbula, los dientes, los nervios y los tejidos blandos. Esta vista mejorada permite a los dentistas detectar problemas menores que no son visibles en las exploraciones 2D tradicionales, como muelas del juicio impactadas o fracturas óseas en la cavidad sinusal.

Los beneficios de la CBCT

Hay muchos beneficios al usar CBCT tecnología, especialmente en comparación con el formato tradicional de rayos X 2D. Una de las ventajas más significativas de CBCT La ventaja de las tomografías es que proporcionan mucha más información que las radiografías tradicionales. Una tomografía permite a su dentista ver imágenes de la mandíbula y la boca desde todos los ángulos, incluyendo los senos paranasales, la cavidad nasal, los pómulos y otras áreas circundantes. Esta información adicional ayuda a su dentista a elaborar un plan de tratamiento integral que aborde todos los aspectos de su salud bucal.

Otro beneficio importante es que las imágenes 3D proporcionan imágenes más precisas de la estructura ósea. Estas imágenes son más detalladas y le brindan un diagnóstico más preciso. Un diagnóstico preciso significa un mejor tratamiento para usted.

Cuando se combina con extracciones, colocación de implantes dentales o injertos óseos, CBCT La tecnología puede brindarle una experiencia más rápida y mucho más cómoda. Esto se debe a que la imagen 3D ofrece una visión más detallada de toda su cavidad bucal, lo que permite a su dentista explicarle cada paso del proceso antes de que comience. Esto suele ayudar a los pacientes a sentirse más preparados y cómodos en general, especialmente si han tenido una experiencia traumática con tratamientos dentales anteriores.

El procedimiento de CBCT

El paciente se coloca primero en la CBCT El escáner, que normalmente consta de un brazo giratorio que alberga la fuente de rayos X y un detector. La cabeza del paciente se inmoviliza para garantizar una captura de imagen precisa. La fuente de rayos X y el detector giran alrededor de la cabeza del paciente, capturando varias imágenes de rayos X desde múltiples ángulos. A medida que la fuente de rayos X gira, emite el haz de rayos X en forma de cono hacia el detector. El detector captura las imágenes de rayos X, que luego son procesadas por el CBCT software.

Después del proceso de escaneo, las imágenes de rayos X capturadas son procesadas por el CBCT software, que aplica algoritmos para reconstruir una imagen 3D detallada del área escaneada. El software compila estas imágenes de rayos X individuales y crea una representación digital 3D de la anatomía del paciente. La 3D reconstruida CBCT La imagen puede ser visualizada y analizada por el dentista o el radiólogo. Esta imagen puede manipularse, rotarse y ampliarse o reducirse para examinar estructuras específicas y evaluar el estado del paciente.


Aplicaciones y beneficios para estas profesiones

 
Profesión  Aplicaciones clave Beneficios de la CBCT (Cráneo a C7)
Cirujano Oral y Maxilofacial Cirugías orales complejas, cirugía ortognática (de mandíbula) y extracción de dientes impactados. Ofrece una visualización tridimensional precisa del cráneo, la mandíbula y la unión craneocervical para mejorar la precisión del diagnóstico y minimizar los riesgos quirúrgicos.
Ortodoncista Evaluación de la asimetría facial, planificación de la cirugía ortognática y tratamiento del labio y paladar hendido y la apnea del sueño. Proporciona una visión integral del complejo craneofacial para planificar mejor los tratamientos y evaluar los resultados.
Quiropráctico cervical superior Diagnóstico de problemas estructurales en las vértebras C1-C2, evaluación de desalineación e inestabilidad y evaluación del dolor crónico. Permite vistas precisas y con carga de la columna cervical superior, lo que ayuda a identificar anomalías que fundamentan terapias específicas y no invasivas.
Otorrinolaringólogo Diagnóstico de la apnea obstructiva del sueño (AOS) y evaluación de la anatomía de los senos paranasales y la cavidad nasal. Visualiza toda la vía aérea faríngea para medir el volumen, localizar constricciones y planificar una cirugía correctiva si es necesario.

Especialista en Medicina Dental del Sueño

Detección y tratamiento de pacientes con riesgo de AOS.

Proporciona imágenes 3D detalladas para el análisis de las vías respiratorias, lo que ayuda a crear y ajustar aparatos bucales y facilita derivaciones efectivas a médicos.

___________________________________________

Acerca de nuestra tecnología de vanguardia CBCT Tecnología que hace posible Dr. G ¡Estudia Odontología con los mejores profesionales de Miami!

Dentista cerca de mí, dentista cerca de mí, mejor dentista de miami, mejor dentista de miami, pizza cerca de mí, chino cerca de mí, comida cerca de mí, dentista de corona en miami, dentista más barato en miami, dentista de tratamiento de conductos en miami, dentista de tratamiento de conductos en miami más barato

Planmeca Viso G7 CBCT La tomografía computarizada de haz cónico (CBCT) está diseñada para superar las exigencias de los líderes de la industria, los especialistas y las grandes instituciones. Cuenta con un sensor de gran tamaño (25 × 30 cm) con cuatro cámaras integradas. Puede capturar tamaños de volumen ilimitados, desde ø3×3 cm hasta ø30x30cm, capturando el casquete escutelario a través de C7 en la columna cervical. Planmeca Viso G7 ofrece el escaneo de volumen único más grande de la industria de ø30×19 cm. Está preparado para manejar modalidades de imágenes avanzadas como la tecnología Planmeca ProFace® y Planmeca 4D™ Jaw Motion. El soporte occipital para la cabeza permite una visión sin obstáculos del tejido facial.

Planmeca es el único fabricante clínicamente probado que reduce drásticamente la radiación del paciente sin sacrificar la calidad de la imagen. Planmeca Ultra Low Dose™ logra una reducción promedio de la dosis del 77% sin una reducción estadística en la calidad de la imagen, lo que permite a los médicos incorporar imágenes 3D en protocolos de rutina con una radiación efectiva al paciente a menudo inferior a la de las imágenes intraorales 2D.. Esto aumenta la atención al paciente, permite a los médicos diagnosticar más odontología y, a menudo, antes en la progresión de la enfermedad, que con imágenes 2D solas.

Las unidades Planmeca 3D también incluyen la única tecnología de detección y corrección del movimiento del paciente de la industria, Planmeca CALM™. Esta tecnología corrige el movimiento durante CBCT adquisición reduciendo el riesgo de tomas repetidas.

Nuestra tecnología SCARA patentada permite a los médicos capturar verdaderas alas de mordida extraorales que son tan precisas para detectar caries como una serie de alas de mordida 2D, pero con la mitad de la dosis de radiación. Con nuestras alas de mordida, los médicos pueden ver los ápices de los dientes en ambas mandíbulas, lo que proporciona una visión más completa de la anatomía de los pacientes.

Los sistemas Planmeca 3D vienen con Autofocus, una tecnología que produce imágenes panorámicas increíblemente claras, incluso en interiores. Esta tecnología diferencia nuestras imágenes 2D de la competencia.

Volumen máximo con un solo escaneo:
Ø30 x 20

Volumen máximo con múltiples escaneos verticales:
Ø30 x 30

planmeca-viso-g7-volumen-máximo.jpg

Dentista general con microscopio, dentista cerca de mí, dentista cerca de mí, dentista en Miami, dentista para mujeres en Miami, dentista para mujeres cerca de mí, mujer dentista en Miami

Horario:

Día
Hora
Lunes
9:00 am – 5:00 pm
TU
9:00 am – 7:00 pm
MIÉ – JUEVES
9:00 am – 4:00 pm
Viernes
9:00 am – 5:00 pm
Sábado
9:00 am – 3:00 pm
Domingo
Cerrado

Ubicación

2500 SW 107th Ave # 45, Miami FL 33165

Ir al contenido